Treatment Photos
Dental Treatment Photos – Real Smiles, Real Transformations
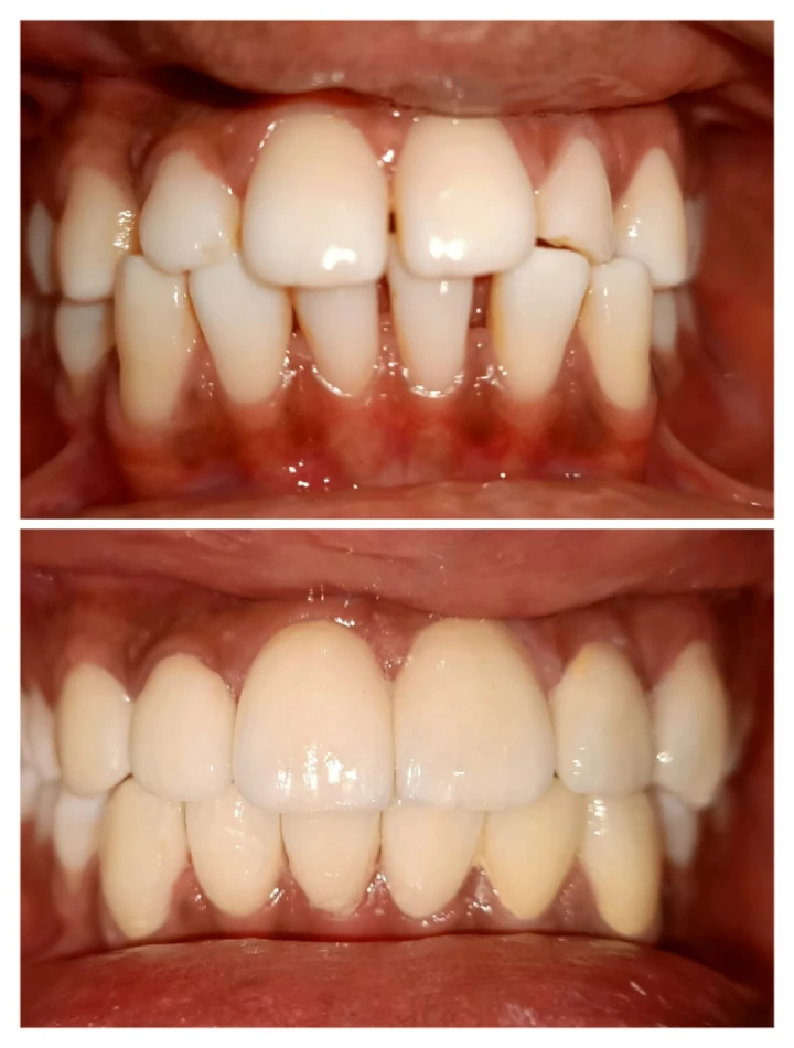
A smile can change everything and the dental clinic is convinced that the best way to show their expertise is to show real patient results. In the gallery of Dental Treatment Photos, we are presenting the real changes that occurred due to the combination of advanced dental care, personalized treatment plans, and our constant patient comfort priority. Invisalign Treatment
The patients who relied on us to put their smiles on are the ones shown in every picture. The pictures show the entire range of dental care, from the smallest cosmetic improvements and ortho to the most complex restorative procedures. The photographs are the evidence of our skills, precision, and the enthusiasm with which we work for healthy, confident smiles. Invisalign Treatment
Why Dental Treatment Photos Matter
The primary role, among other things, of images showing dental procedures is to educate patients about the new possibilities offered by modern dentistry. Displaying real before-and-after results instills confidence in the dentist’s skills, sets realistic expectations, and reduces the patient’s fears about the success of the treatment. Pictures are an easy visual map of the potential, regardless of whether you are contemplating the options between braces, dental implants, veneers, or a total smile makeover. Invisalign Treatment
The gallery is an inspiration, but also a source of knowledge. You can explore different dental diseases and their corresponding treatments by means of the latest techniques and equipment. Invisalign Treatment
Treatments Featured in Our Gallery
We have a vast array of dental treatment photos depicting treatments from many dental procedures, including:
Braces & Invisalign (Orthodontics)
Dental Implants and Full-Mouth Rehabilitation
Smile Makeovers and Aesthetic Dentistry
Teeth Whitening and Veneers
Crowns, Bridges, and Dentures
Laser Dental Treatments
Removal of Wisdom Teeth and Surgical Procedures
Every patient has his or her own case, and our dentists devise the treatment plan according to the patient’s dental condition, facial aesthetics, and long-term oral health goals.
Advanced Technology, Ethical Dentistry
Through our pictures, we bring to light the operations made with cutting-edge dental instruments, the newest diagnostic equipment, and the treatments that are being used all over the world. We practice minimum invasiveness in the procedure so the healing is faster, pain is less, and results are more reliable.
Always, we prioritize patient safety, hygiene, and the application of ethical treatment practices. What you see as results are not only honest dentistry supported by experience and continuous learning but also achieved with no shortcuts.
Patient Consent & Privacy
We are following the guidelines of patient consent and privacy very strictly. The bloody photographs on this page were shared with prior permission and the identities of the patients are protected unless explicit consent is provided. This guarantees openness while respecting confidentiality of the patients.
Take the First Step Toward Your Smile Transformation
If these pictures from dental treatments have created the desire for you to get one, simply the next step is to arrange a consultation with our topnotch dental team. Your dental condition will be evaluated, your issues will be heard, and a treatment plan will be created that meets your requirements, lifestyle, and financial situation.
The start of your smile journey is only steps away. We will be with you through the whole process that will turn your smile into a healthier, brighter, and more confident one that you will be proud to share with people.






